histopathology annotation services

Certified Pathologist Collective

Gold-Standard Ground Truth for AI Pathology

We provide unimpeachable annotation, validation, and QC services for pharmaceutical research and AI model training. Powered by clinical experts, not generic annotators.

6,000+

Clinical Expertise

Hours of Annotation

N+1

Quality Assurance

Consensus Model

100%

Team Structure

Certified Pathologists

Pharma & AI

Applications

Regulatory Ready

Generic vs. Expert

Generic Annotation Services

Often rely on non-medical staff or students. Prone to inter-observer variability and lack of clinical nuance needed for regulatory submission.

The HistoStudio Standard

All workflows are supervised by Certified Pathologists. We use a multi-tiered validation system to minimize edge cases and ensure diagnostic accuracy.

Why "Good Enough"
Is Not Enough for AI.

In pharmaceutical research and diagnostic AI, the cost of bad data is exponential. We recognize the critical need for ground truth data that stands up to scrutiny.

  • N+1 Consensus Model requiring validation by at least two pathologists.
  • Minimization of inter-observer variability (IOV).
  • Deep understanding of biological ambiguity and edge cases.
  • Scalable workflows from pilot studies to large-scale datasets.

Comprehensive Pathology Services

End-to-end annotation solutions tailored specifically to the complexity required by pharmaceutical and AI domains.

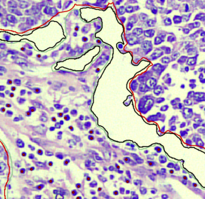
WSI Segmentation

WSI & ROI Segmentation

Region-of-Interest marking, Tumor/Stroma segmentation, Lesion identification, and histological feature segmentation for model training.

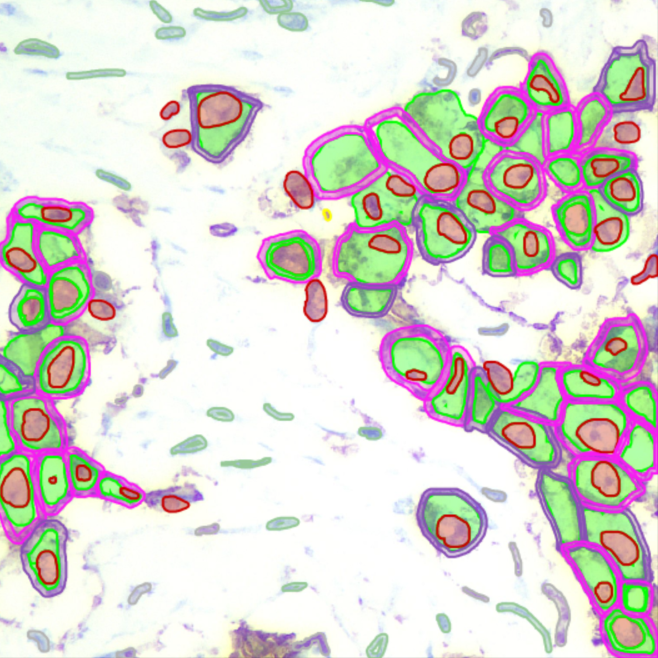
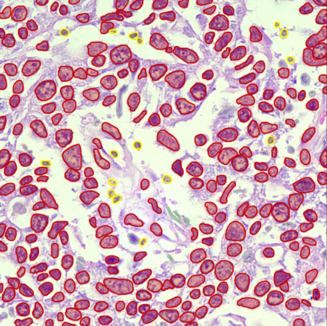
Cellular Annotation

Cellular & Structure Level

High-precision single-cell annotation, mitotic figures, nuclear/cytoplasmic contours, and structure-level tagging.

Biomarker Analysis

Biomarker Analysis

IHC scoring (Ki-67, PD-L1), ISH/FISH spot counting, and H-Score calculation for drug efficacy studies.

Grading & TME

Grading & TME

Lesion grading (Gleason, Nottingham) and Tumor Microenvironment component annotation (TILs, Fibrosis).

Our Workflow

From protocol design to final dataset delivery.

01
1

Protocol Development

We develop standardized, pathologist-led SOPs ensuring adherence to your study-specific criteria.

02
2

Multi-Stage QC

Primary Pathologist Annotation followed by Secondary Pathologist QC and Senior Validation.

03
3

Data Preparation

Final consistency checks and dataset validation, ensuring data is ready for AI/ML ingestion.

The Pathologist Advantage

We strip away the administrative bloat found in large CROs.

Leaner Teams

No intermediaries or project management layers. You communicate directly with the medical experts.

Effective Commercial Terms

Transparent pricing models designed for commercially viable annotation at scale.

Cost Effective Projects

High-quality data reduces model retraining costs, making our "Gold Standard" the most economical choice long-term.

Ready to accelerate your research?

Whether you need a pilot study or a large-scale dataset, our team is ready to deliver gold-standard data.

Team of Certified Pathologists